当院のテレスコープデンチャーとは?
テレスコープデンチャーとは、ドイツで伝統的に使用されている、もっとも精密で信頼性の高い義歯です。
テレスコープ義歯は、厳密にはコーヌスクローネ義歯、リーゲル義歯、レジリエンツ義歯という3種類の義歯の総称となります。
残っている歯の形を整え、その歯に通常の被せ物と同様の加工を行い、特殊な構造の内冠という被せ物を作製、装着します。
その内冠に適合する外冠を製作し、外冠と一体となった、取り外しのできるブリッジもしくは入れ歯を装着・固定します。
テレスコープデンチャーの特徴
テレスコープデンチャーのメリット
- クラスプ(金属のバネ)がないため、目立ちにくく、審美的機能的回復が可能です。
- 物を噛む感覚が通常の入れ歯と比べ格段に良く、天然歯のように食べ物を噛み、喋ることができます。
- 装着時の違和感も少なく、夜間も装着したまま寝ていただくこともできます。
- インプラント治療のように大変な外科手術(インプラント)の必要がなく、体に対する健康面、機能面に優れています。
- 残っている天然歯に対する負担が少なく、必要な本数だけ入れ歯の支えとして利用することができます。
- 歯に動揺があっても作製することが可能で、天然歯をできるだけ長く残すことができ、最終的に抜歯になってしまってもその義歯を修理して長く使うことも可能です。
テレスコープ義歯の種類
テレスコープ義歯には3種類があり、患者様のお口の状態、残っている歯の本数、位置によって、適したテレスコープ義歯の種類を決定します。
コーヌステレスコープ
コーヌスクローネは、内冠と外冠の二重の冠で固定する義歯です。これは茶筒と同じ原理によるものです。
比較的残っている歯が多い場合に適用します。二重冠による固定方式は、金属のバネ(クラスプ)が必要ないため、見た目が自然で美しく、しっかりと噛むことができます。
術前
術前の状態です。上の前歯はブリッジになっています。ほとんどの歯に治療跡があります。残っている歯は上が10本、下が6本です。
前処置
全ての詰め物・被せ物を除去し、虫歯が再発している部位は治療を行います。その後、内冠を装着するために歯の形を整えます。
内冠の製作と装着
内冠を装着した状態です。治療期間中は仮義歯を装着していただきます。
蝋義歯
義歯を実際にお口の中に装着します。見た目や咬み合わせの位置、高さを実感していただき、修正が必要な箇所があれば調整をしていきます。
最終的な入れ歯の完成
蝋義歯の段階で問題がなければ、この蝋義歯の形態を最終的な素材で完全に再現します。そして、お口の中に装着していただき、完成となります。
治療の詳細
主訴
咬めなくて、食事が辛い
原因
複数の治療痕があり、多数の歯を欠損している。
提示した治療法
- インプラント植立
- 部分義歯・ノンクラスプデンチャー・テレスコープ義歯
- 延長ブリッジ
できるだけ自分の歯を残していきたいが、インプラントへの恐怖感があるとのことで、コーヌステレスコープ義歯を選択
リスク
歯を削る必要があるので、慎重に治療する必要がある。噛み合わせを十分に考慮しないと、顎関節に負担がかかる恐れがある。
治療期間
3カ月半
(検査・術前治療・分析・型取り・治療用義歯・調整・本入れ歯セット・最小性を含む)
※口腔内の状態によって、治療期間は変わります。
注意点
口腔状態によって選択する義歯は変わります。必ずしもこの症例通りの義歯を提案するものではありませんので、治療を検討の際は十分に歯科医師と話し合ってください。
治療費
3,960,000円(税込)
リーゲルテレスコープ
リーゲル義歯は、開閉式の閂(かんぬき)で義歯(入れ歯)を固定します。
コーヌス義歯とリーゲル義歯のどちらが適しているかは、お口の中の状態や残っている歯の本数や位置によって異なります。
術前
ご来院いただいたときには、複数の欠損があるのと同時に重度の虫歯が進行していました。
治療用義歯
虫歯や根の治療、理想的な咬み合わせの状態を作っていきます。治療期間中の暫定的な入れ歯として使用していただきます。
前処置
虫歯や根の治療、理想的な咬み合わせの状態を作っていきます。治療期間中の暫定的な入れ歯として使用していただきます。
内冠の製作と装着
内冠を設計・製作し、お口の中に装着した状態です。
蝋義歯
調整・修正を重ねた治療用義歯をもとに蝋でできた蝋義歯を作製します。この蝋義歯の状態でさらに微調整を加えます。歯の色や形などのご要望はこの段階で入れ歯に反映させていきます。
最終的なリーゲル義歯の完成
蝋義歯の段階で問題がなければ、この蝋義歯の形態を最終的な素材で完全に再現します。そして、お口の中に装着していただき、完成となります。
治療の詳細
主訴
硬いものが食べれない、しっかり噛めずにスカスカしている
原因
虫歯によって多く歯を欠損しているため、噛みづらい状態になっていた
提示した治療法
- インプラント植立
- 部分義歯・ノンクラスプデンチャー・テレスコープ義歯
- 延長ブリッジ
見た目を気にされていたが、外科治療への恐怖感があるため、リーゲルテレスコープを選択
リスク
歯を削る必要があるので、慎重に治療する必要がある。噛み合わせを十分に考慮しないと、顎関節に負担がかかる恐れがある。
治療期間
3カ月半
(検査・術前治療・分析・型取り・治療用義歯・調整・本入れ歯セット・最小性を含む)
※口腔内の状態によって、治療期間は変わります。
注意点
口腔状態によって選択する義歯は変わります。必ずしもこの症例通りの義歯を提案するものではありませんので、治療を検討の際は十分に歯科医師と話し合ってください。
治療費
3,300,000円(税込)
レジリエンツテレスコープ
残っている歯が3歯以下の場合に適応されます。
レジリエンツ義歯は粘膜で入れ歯を維持するため、残っている歯に過剰な負荷がかかることなく、抜かずに入れ歯を作製することができます。
術前
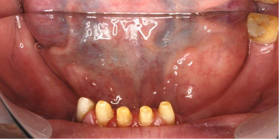
上段の3枚はもともと使用していた入れ歯を装着した状態、下段の3枚はその入れ歯を外した状態です。既にかなりの本数の歯を失っていますが、残っている歯は歯周病で保存不可能なため、ご説明をさせていただき、同意を得たうえで抜歯となりました。
残念ながら3本しか残せませんでした。
前処置
グラグラで残せない歯を抜歯し、残せる歯に関しては、虫歯の治療と歯の形を整える処置を行っています。この3本にも多少の動揺があったものの特に問題はなさそうなので残しました。
治療用義歯
咬み合わせや形態の調整を行うために、調整・修正を行っていく入れ歯を作製します。治療期間中の暫定的な入れ歯として使用していただきます。
内冠の製作と装着
内冠を設計・製作し、お口の中に装着した状態です。
蝋義歯
調整・修正を重ねた治療用義歯をもとに蝋でできた蝋義歯を作製します。この蝋義歯の状態でさらに微調整を加えます。
歯の色や形などのご要望はこの段階で入れ歯に反映させていきます。
最終的なレジリエンツ義歯の完成
蝋義歯の形態を最終的な素材で完全に再現します。 そして、お口の中に装着し、完成となります。
治療の詳細
主訴
歯がぐらついて食事がしにくい
原因
複数の治療痕、歯周病による歯のグラつきが原因
提示した治療法
- インプラントオーバーデンチャー
- テレスコープ義歯
- インプラント
できるだけ自分の歯を残していきたい、インプラントでの管理を考慮し、レジリエンツテレスコープを選択
リスク
歯を削る必要があるので、慎重に治療する必要がある。噛み合わせを十分に考慮しないと、顎関節に負担がかかる恐れがある。
治療期間
4カ月半
(検査・術前治療・分析・型取り・治療用義歯・調整・本入れ歯セット・最小性を含む)
※口腔内の状態によって、治療期間は変わります。
注意点
口腔状態によって選択する義歯は変わります。必ずしもこの症例通りの義歯を提案するものではありませんので、治療を検討の際は十分に歯科医師と話し合ってください。
治療費(下顎部分のレジリエンツのみ)
1,320,000円(税込)
適した義歯・入れ歯は、患者様の症状・ケースによって異なります。
お口の中を拝見し、患者様と一緒に適した義歯を選んでいきます。
